Orthodontics
Treatments have a greater variability in time, ranging from 6 to 32 months depending on whether they involve reduced aesthetic realignment, pre-prosthetic treatments, complete orthodontic treatments, or combined surgical-orthodontic treatments.
Orthodontic therapy in adults uses either fixed appliances or invisible aligners.
Treatment with the Invisalign method involves the use of transparent aligners that gradually realign misaligned teeth. The aligners are removable, allowing the patient to take them off during meals and oral hygiene manoeuvres. The aligners are progressively changed during corrective treatment. It's the available method, decidedly more aesthetic.
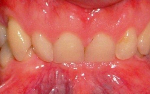
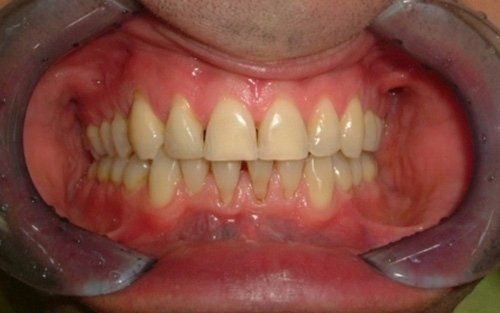
Below is a case of adult orthodontics, resolved with traditional fixed appliances.







