Dental erosions and abrasions
One of the dental pathologies in recent years is undoubtedly represented by the
chemical erosion of dental surfaces.
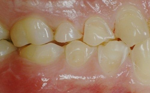
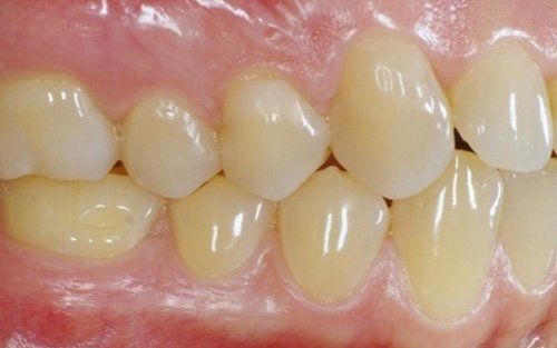
Erosion is the phenomenon whereby dental enamel undergoes a gradual dissolution due to the constant presence, in the oral cavity, of acidic substances mainly from certain types of beverages (cola, iced tea, sports supplements, etc.) or from the stomach (gastroesophageal reflux, vomiting induced in bulimic/anorexic patients).
The constant presence of acidic substances causes the gradual loss of the hard tissues of the tooth
and the consequent modification of both the aesthetics of the tooth and its dimensions. The patient often begins to stop smiling, ashamed of the appearance their teeth have taken, in addition to frequently experiencing dental sensitivity that develops proportionally to the progression of the process. Sometimes this phenomenon is associated with
dental abrasion (abfraction), or abrasion may occur as a separate phenomenon. In the latter case, it is due to
mechanical forces applied to the teeth with incorrect movements and intensity. Generally, excessive horizontal tooth brushing movements and/or toothbrush bristles that are too rigid are responsible for this.






