Cosmetic conservative dentistry
Cosmetic conservative dentistry encompasses the majority of disciplines we apply in our clinic on a daily basis. The
high reliability of adhesive systems, the
guarantee of aesthetic materials in terms of strength and durability, as well as their
excellent aesthetic properties, make it a systematic approach that, if correctly applied, allows for the conservative resolution of most dental pathologies. From
extensive reconstructions due to
dental caries, through
fillings
(see "direct restorations" below) or
inlays, to the application of
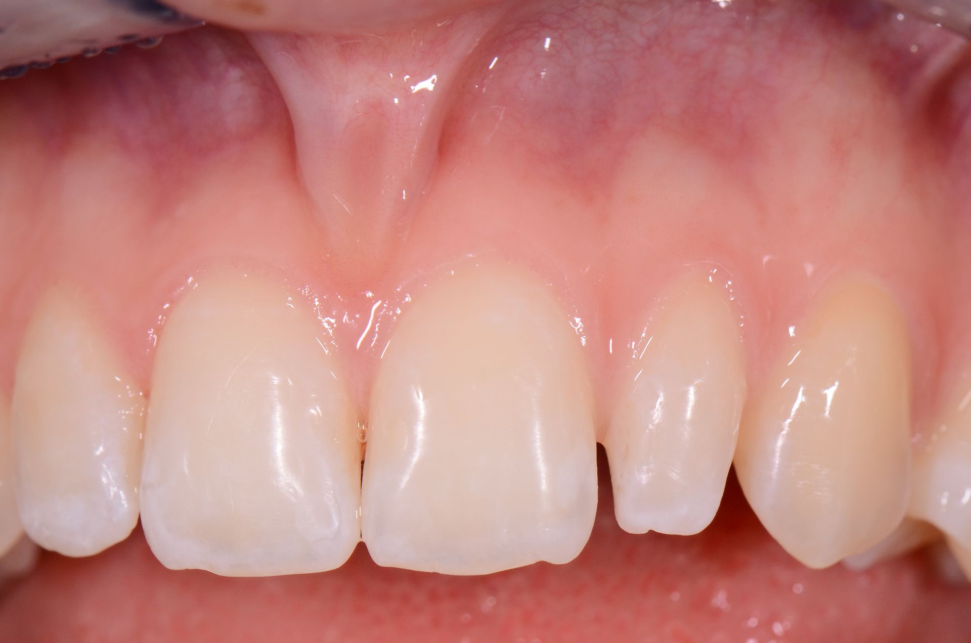
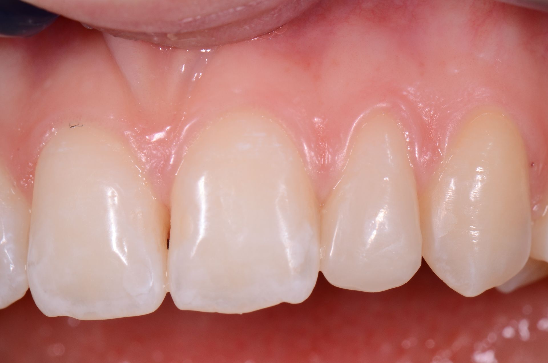
aesthetic veneers on the anterior group, to
dental cosmetics, where small and very conservative modifications can substantially improve one's smile without the need for expensive and complex prosthetic therapies involving the application of complete crowns. This category also includes
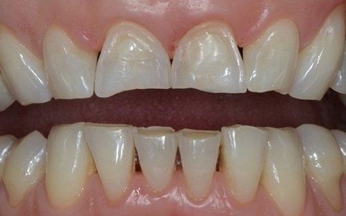
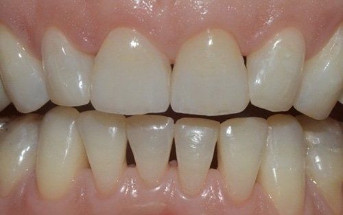
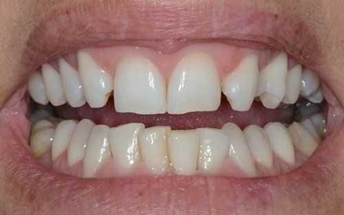
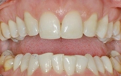
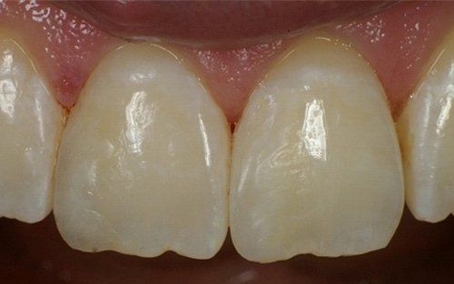
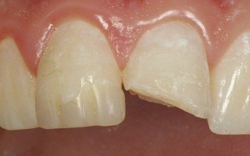
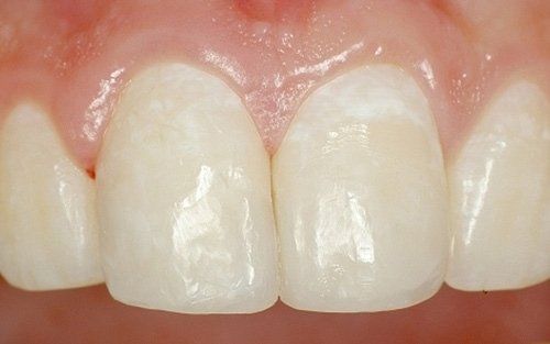
tooth volume enhancements, for example, in cases where interincisal diastemas (gaps between the upper incisors) need to be closed. Many coronal fractures of the anterior teeth can also be resolved very simply, either by reattaching the dental fragment, if it has been preserved, or by "invisible" reconstruction, which is very natural, of the missing portion.
This is our treatment philosophy, and to better illustrate it, we present below some illustrative cases of our work.




















