DIRECT RESTORATIVE DENTISTRY
Direct restorative or conservative dentistry is the discipline that deals with the
restoration of teeth directly at the chairside, typically in a single session.
It is reserved for all cases where, following decay or fracture, one or more teeth need to be restored in shape and function. The material most frequently used today is composite, which combines excellent aesthetic characteristics (blends with the natural tooth) with great strength and functionality. The advantage of this technique is that the tooth is treated and restored in just one session. It is used on both anterior and posterior teeth, yielding excellent results.
Below are a series of cases treated directly.
The decay is not visible, but the patient experienced strong sensitivity in the premolar tooth
The X-ray shows the presence of a large Class II cavity (dark area near the inscription)
The tooth during the reconstructive therapy: the old amalgam filling was removed, and the cavity was cleaned of decay.
Reconstructive therapy completed
The patient was obviously dissatisfied with the appearance of her teeth
Completed restorations at a later inspection
The restorations underwent significant degradation in both shape and colour
All teeth were vital, so very conservative direct therapies were performed
The right lateral incisor after the removal of the old restoration
The final restoration on the lateral tooth: note the good integration between the tooth and the restoration.
The left lateral after the removal of the old restoration. In this case, all the healthy tissue of the patient was preserved.
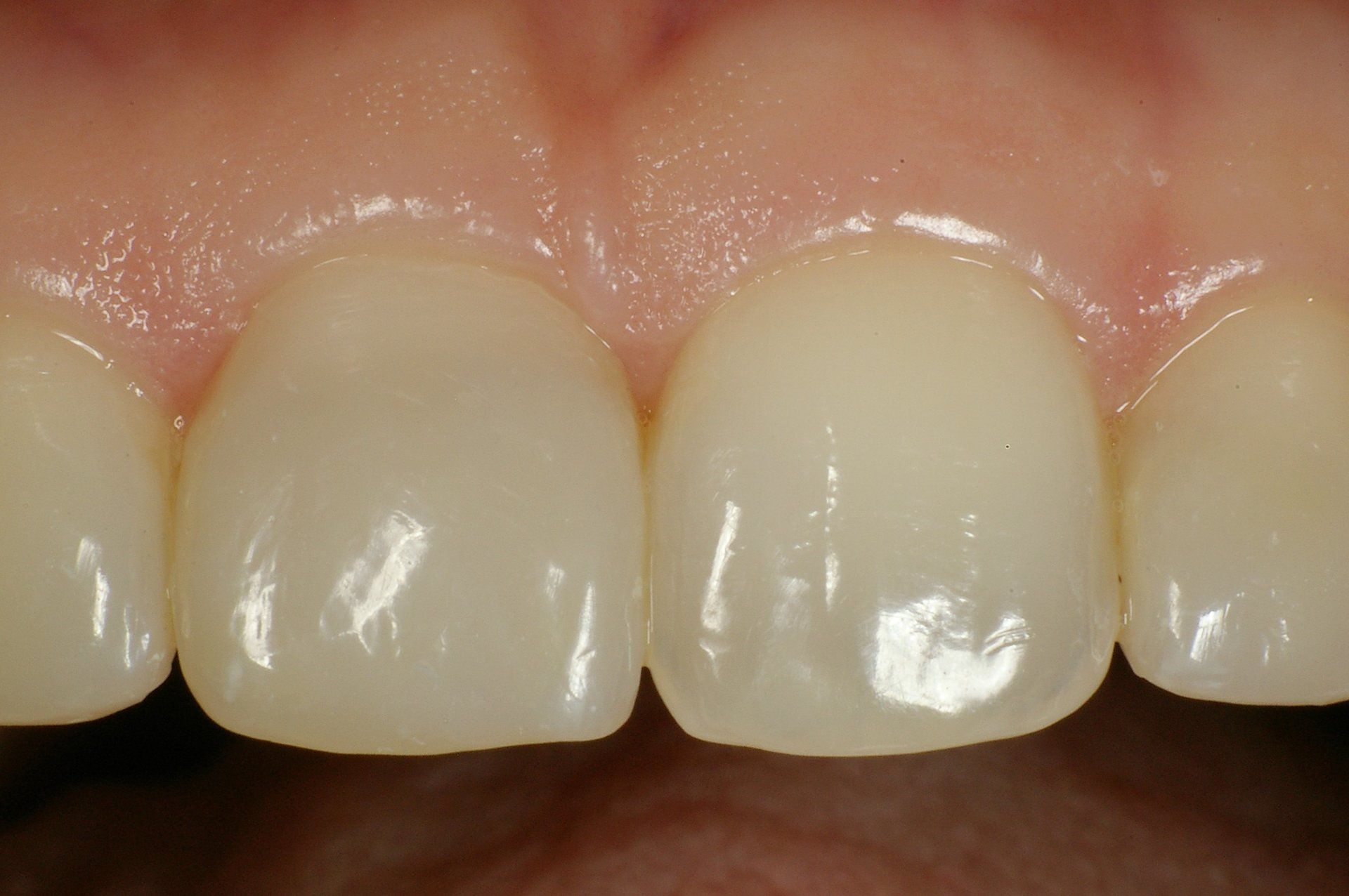
The left lateral completed.
The fracture of the permanent incisors in a young patient. The teeth will be reconstructed directly, chairside.
The case can be viewed more extensively in the "dental traumas" section of the Children's Services.


















