PERIODONTAL DIAGNOSIS
We consider it essential that the examination of our patients includes a thorough screening for periodontal disease (see dedicated section of the website).
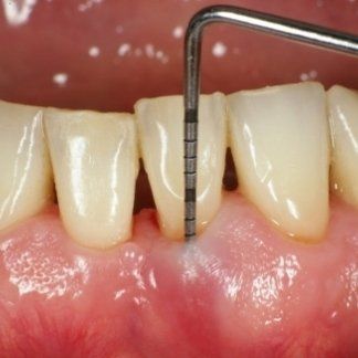
How is it done?
It is based on a very simple tool: the millimetreed periodontal probe applied with slight pressure inside the periodontal pocket.
What is evaluated?
- The percentage of sites positive for plaque accumulation
- The percentage of sites positive for bleeding on probing: It reliably indicates the presence of inflammation in the periodontal tissues.
- The probing depth and, consequently, the changes in the amount of periodontal attachment: An increase in probing depth over time is synonymous with a loss of tooth support structures.
What is its purpose?
It describes the current situation of the dental arches, allowing for a correct prognosis and thus an appropriate treatment plan for our patients. When repeated over time, it allows for precise monitoring of the maintenance of the good results of the therapies performed.





