Endodontics
Endodontics, or root canal therapy, is that branch of dentistry that deals with the
devitalisation of teeth.
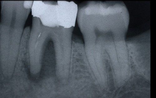
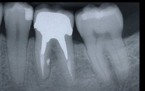
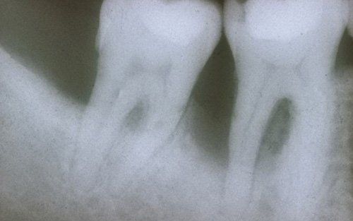
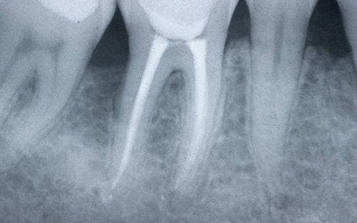
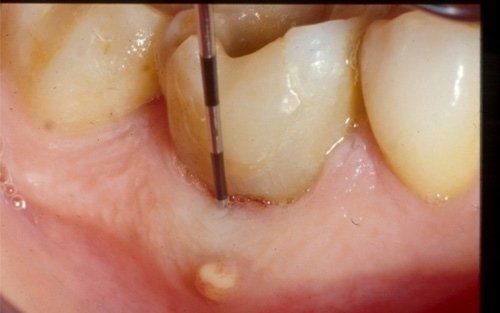
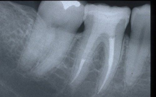
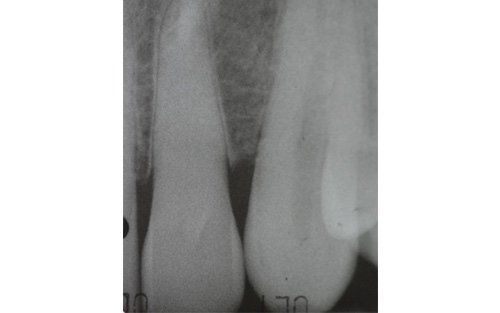
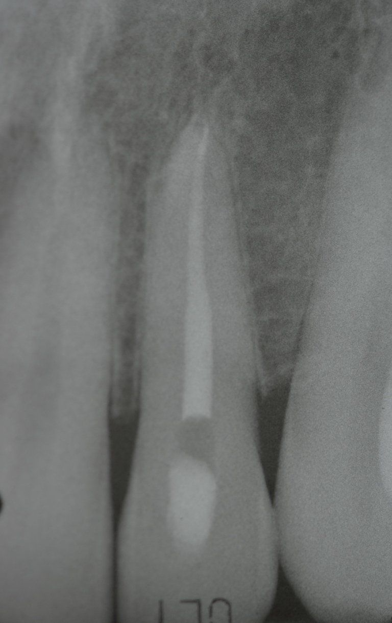
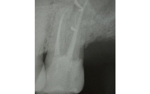
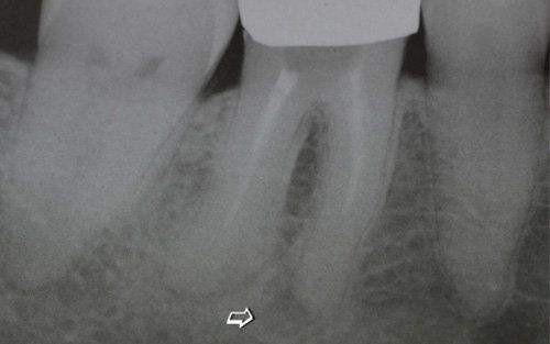
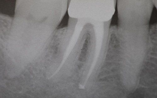
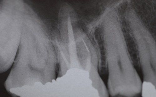
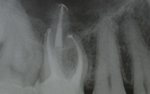
This treatment should be reserved for teeth that have irreversible pulp pathology (the nerve of the tooth) or an infection of the dental canals that has caused an abscess (acute apical periodontitis) or a granuloma (chronic apical periodontitis). While in the first two cases the tooth is very painful and the patient immediately seeks the dentist, the case of the chronic form is often silent, and therefore the patient may not notice anything for a medium to long period of time. In such conditions, it is only an X-ray image, taken during routine check-ups, that detects its presence. Root canal therapy can be completed by placing a latest-generation post inside the canal, as a means of retaining the material used for the reconstruction of the tooth. It will be up to the clinician to decide whether or not the restoration requires this additional anchoring system.

















