HYPOMINERALISATION OF MOLARS AND INCISORS - M.I.H.
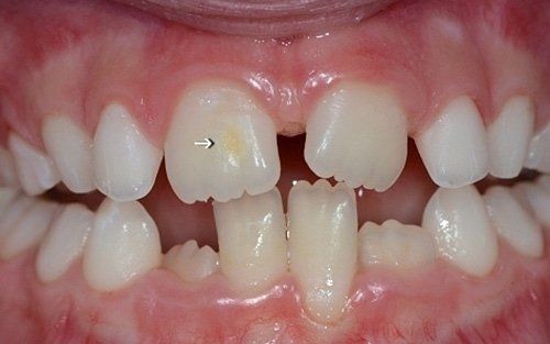
Despite the first signs having been noticed by practitioners at the end of the last century, we can consider the hypomineralisation of molars and incisors (M.I.H. - Molar Incisors Hypomineralisation) as a condition of children in the 2000s. It is characterised by insufficient mineralisation, especially of the first permanent molars, which appear with white-yellowish or brown spots and enamel that is very "porous," lacking the protective shield necessary for the health of these teeth. This leads to a greater tendency for decay, but above all, to structural breakdown of the affected areas under chewing load.








