restaurativa diretta
La restaurativa o conservativa diretta è quella disciplina che si occupa del
restauro dei denti, direttamente alla poltrona e, in genere, in una unica seduta.
E’ riservata a tutti quei casi in cui, in seguito a
carie o a frattura, uno o più denti si trovano nella necessità di essere restaurati, nella forma e nella funzione. Il materiale oggi più frequentemente utilizzato è il composito che unisce ottime caratteristiche estetiche (
si mimetizza con il dente naturale) a grandi doti di resistenza e di funzionalità. Il vantaggio di questa tecnica è che il dente viene
curato e restaurato in una sola seduta. Viene utilizzata sia sui denti anteriori, che sui posteriori, con
ottimi risultati.
Di seguito vengono illustrati una serie di casi trattati in modo diretto.
La carie non è visibile, ma il paziente avvertiva una forte sensibilità sul dente premolare
La radiografia mostra la presenza di una ampia cavità di classe II (area scura in prossimità della scritta)
Il dente durante la terapia ricostruttiva: è stata rimossa il vecchio restauro in amalgama e pulita la cavità dalla carie.
La terapia ricostruttiva completata
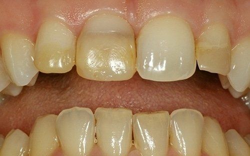
La paziente era, ovviamente, insoddisfatta dell'aspetto dei suoi denti
I restauri ultimati ad un controllo successivo
I restauri hanno subito una subito un intenso degrado sia nella forma che nel colore
I denti risultavano tutti vitali e dunque si è proceduto con terapie dirette molto conservative
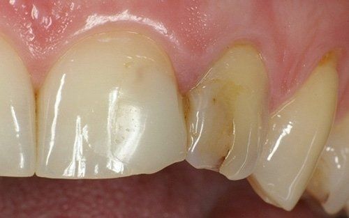
Qui raffigurato l'incisivo laterale di destra, dopo la rimozione del vecchio restauro.
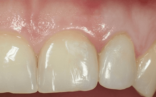
Il restauro definitivo sul dente laterale: notare la buona integrazione fra il dente e il restauro.
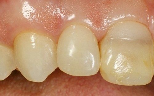
Il laterale di sinistra dopo la rimozione del vecchio restauro. Anche in questo caso tutto il tessuto sano della paziente è stato mantenuto.
Il laterale di sinistra ultimato.
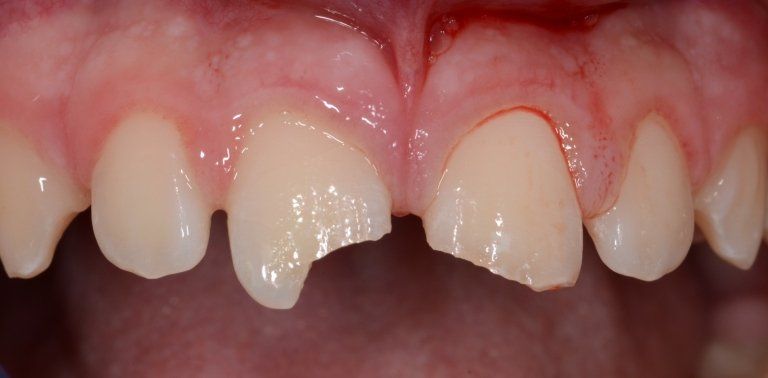
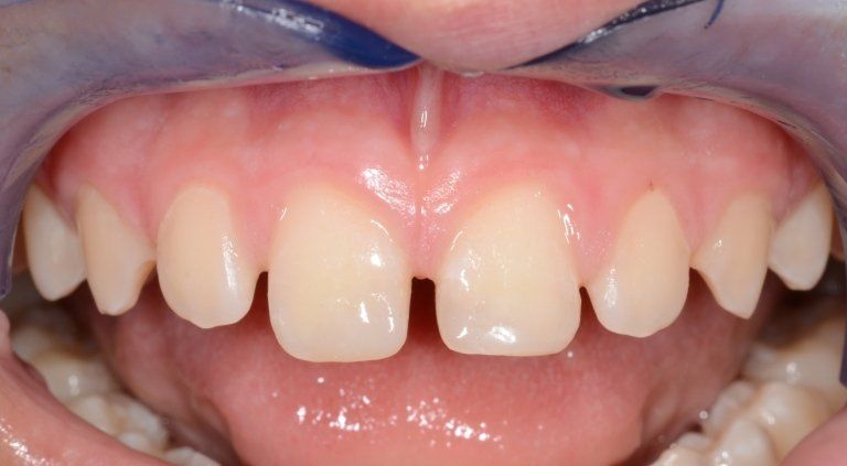
La frattura degli incisivi permanenti in un giovane paziente. I denti verranno ricostruiti in maniera diretta, alla poltrona.
Il caso può essere visionato in maniera più estesa nella sezione "traumi dentari" delle Prestazioni Bambini.


















