LA CARIE nell’INFANZIA
Prima di iniziare a parlare di questo argomento vorrei a voi, mamme e papà, mostrare come sia possibile curare e risanare i denti dei vostri piccoli, in maniera definitiva…perché è doveroso e necessario farlo.
Questa carrellata di alcuni miei piccoli pazienti è anche per tutti coloro che affermano che non sia possibile curare i denti di un bambino piccolo (perché difficile, il bambino non collabora…) o, addirittura, sia inutile farlo.
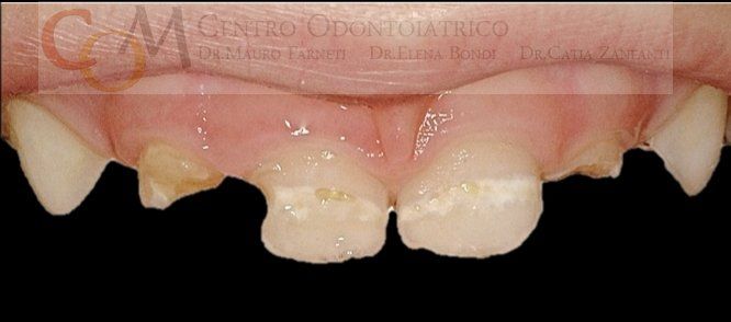
G aveva i dentini davvero rovinati, soprattutto i laterali!
Ma abbiamo salvato tutto e ora G. si fa fotografare volentierissimo!
D. ha solo 30 mesi, e viene da lontano…ma è tornata a casa felice!
L. è stato sottoposto al trattamento ambulatoriale…il protossido ci ha dato una gran mano: un ottimo risultato, mi pare!
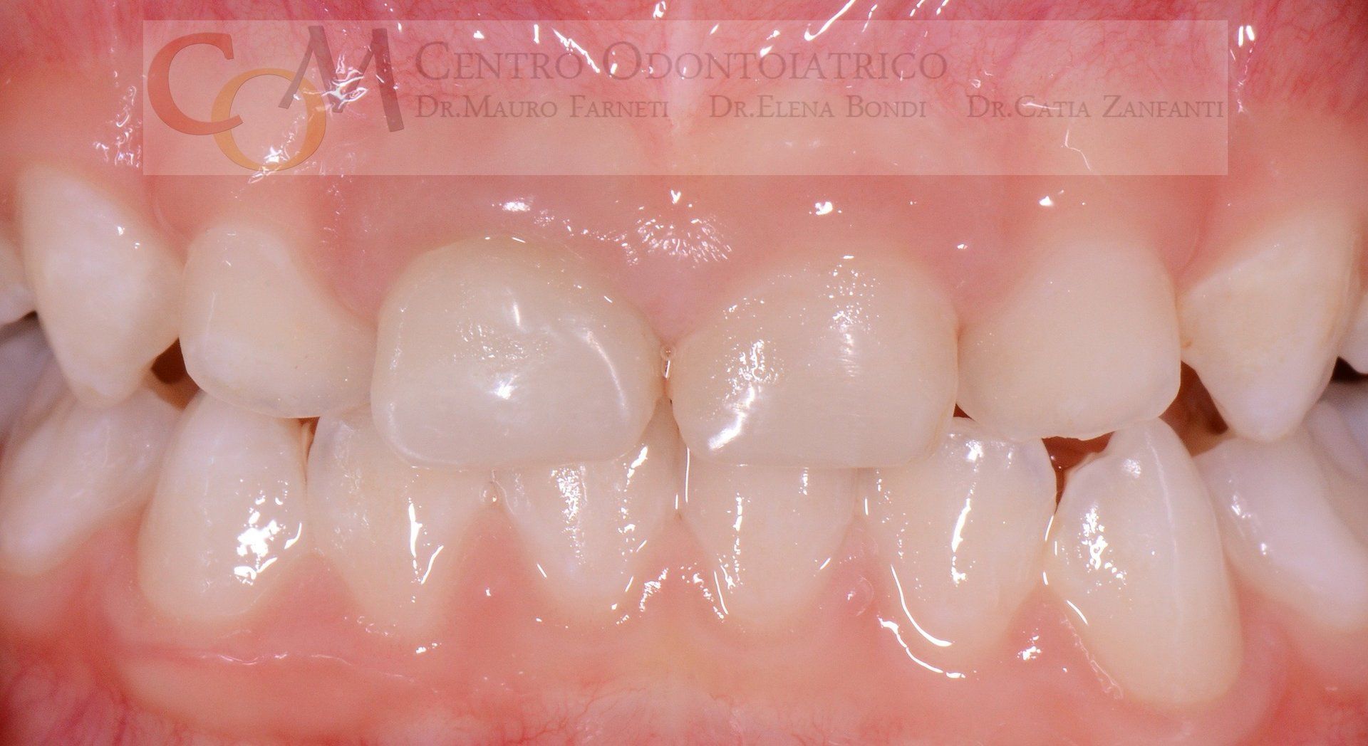
Anche a S. abbiamo salvato tutti i dentini. Ora è molto più contenta!
E adesso qualche informazione….
La carie nel bambino è una delle principali cause di richiesta, da parte dei genitori, di intervento del dentista. La patologia, nel dente da latte, ha una evoluzione particolarmente rapida in virtù della scarsità di smalto presente nella dentizione primaria. Ciò comporta che, dal momento in cui il dente si ammala a quello in cui ne viene coinvolta la polpa (ovvero il nervo, e dunque compaia il dolore), il tempo sia veramente breve.
Nel disegn o, in bianco, a sinistra, lo smalto di un dente permanente (adulto) e la minor quantità in un dentino da latte (a destra).
Per carie precoce dell’infanzia s’intende la carie che colpisce il bambino piccolo: le lesioni appaiono, inizialmente, come linee biancastre in prossimità del colletto del dente (ovvero la base del dente), per poi ingrandirsi e virare verso il colore arancione: da quel momento la severità delle lesioni prosegue velocemente.
La riga più chiara è una prima avvisaglia della demineralizzazione che si sta realizzando sul dente, e dunque il dentista pediatrico deve essere coinvolto quanto prima.
Spesso i dentini da latte cominciano a cariarsi già appena erompono nel cavo orale in quanto sono frequentemente a contatto con zuccheri semplici, come quelli veicolati dal biberon, oppure viene ritardata, dai genitori, l’introduzione delle manovre di igiene orale domiciliare.
Particolarmente aggressivi per i denti da latte risultano: le tisane/infusi in commercio in bustine già pronte e pre-zuccherate; il latte zuccherato con qualsivoglia tipologia, incluso il miele; il latte e biscotti, specie nell’uso notturno; l’utilizzo quotidiano, frequentemente al posto dell’acqua, di succhi di frutta o bevande acide, per
citare alcuni fra i più comuni errori commessi nel tentativo di dare una alimentazione completa al bambino, che spesso si traduce nella comparsa di una patologia chiamata “ Sindrome da biberon ”.
La Sindrome da biberon altro non è che la presenza di carie multiple dei denti da latte, che, spesso, all’età di due anni e mezzo/tre, si presentano già diffusamente cariati sia nei settori posteriori che in quelli anteriori.
Va sempre ricordato che i denti da latte cariati fanno male, molto male, come i denti degli adulti, e dunque va assolutamente prevenuta, al bambino, questa esperienza dolorosa. . Ricordatevi anche che è molto più semplice, per chi si occupa di bambini ed ha a cuore il loro benessere, intervenire quando il dolore non sia ancora presente perché chiunque avrebbe una disponibilità maggiore a essere approcciato se in uno stato di benessere, piuttosto che afflitto da dolore.
Inoltre, Il mantenimento della salute dei denti da latte è il presupposto fondamentale per la corretta eruzione dei futuri denti permanenti. Le terapie che applichiamo sono sempre volte al mantenimento dei dentini, sia per l’aspetto estetico sia per l’importante funzione che svolgono.





