traumi dentari
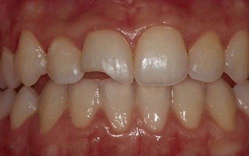
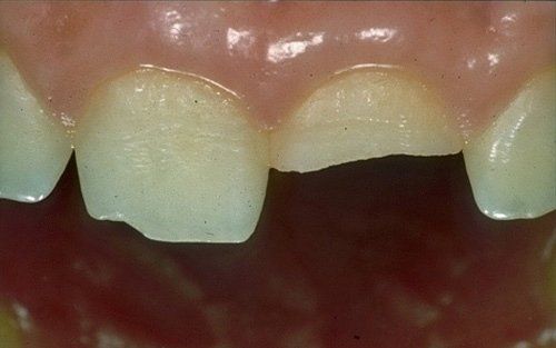
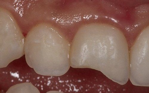
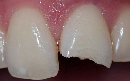
Frequenti, in età pediatrica, sono i traumi (sportivi e non). Come conseguenza i denti anteriori superiori (ovvero gli incisivi) sono i più esposti all’evento che può esitare in una frattura della corona con o senza il coinvolgimento della polpa, nella necrosi del dente (che può avvenire, più facilmente, senza alcuna frattura della corona dentale), oppure in quel panel di complicanze che vanno dalla lussazione ai traumi intrusivi o estrusivi, fino all’ avulsione, cioè la fuoriuscita completa del dente dall’alveolo.
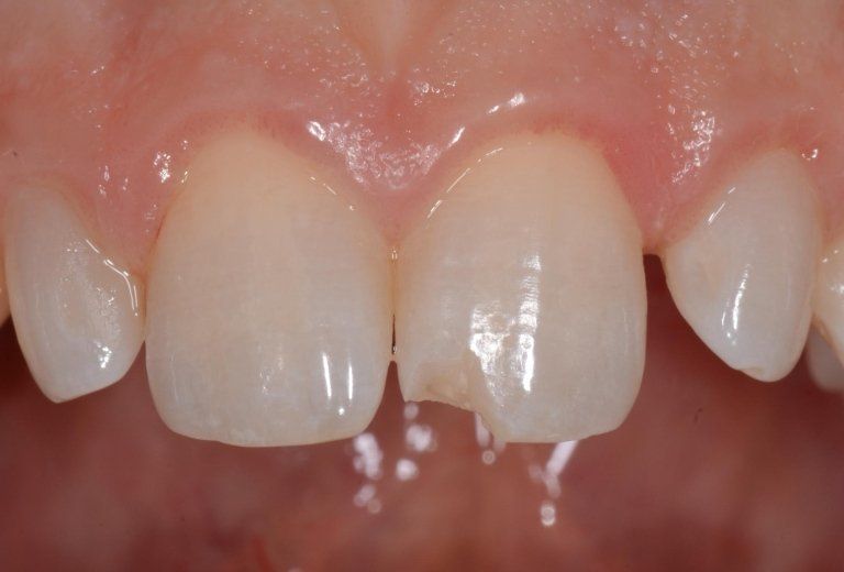
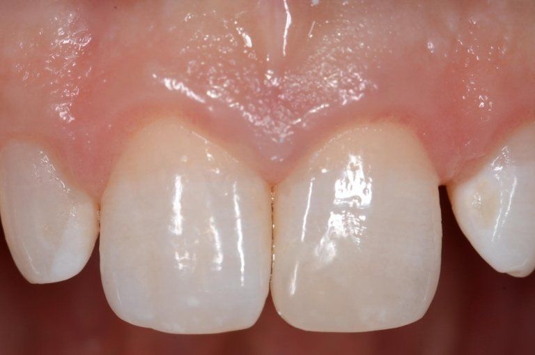
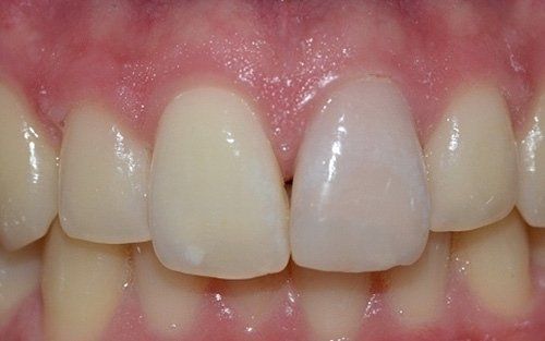
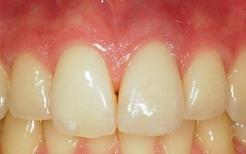
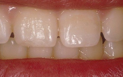
I denti da latte traumatizzati più spesso vanno incontro a necrosi con conseguente cambiamento di colore, divenendo grigiastri, segno della morte delle cellule della polpa dentaria. In altre occasioni, il dente può fratturarsi in maniera più o meno ampia: se il frammento viene ritrovato, potrà essere re-incollato in maniera invisibile, oppure verrà ricostruito con i materiali compositi.
Anche nel caso dell’avulsione, ovvero della fuoriuscita del dente, è importante conservare l’elemento nel latte o in soluzione fisiologica e recarsi davvero “di corsa” dal dentista: entro i primi 60 minuti ci sono buone probabilità che il riposizionamento del dente sia coronato da successo a medio-lungo termine.




























