ortodonzia infantile
  ORTODONZIA INTERCETTIVA 
Prevede trattamenti in età precoce, tra i 7 e i 10 anni, durante gli stadi più attivi della crescita cranio facciale e della permuta dentale. Tali interventi sono finalizzati a rimuovere i fattori responsabili della malocclusione dentaria e a ripristinare la normale crescita dei mascellari rendendo possibile un allineamento dentale corretto, estetico e funzionale.
L’ortodonzia intercettiva, può non portare a una risoluzione completa della malocclusione, ma pone solide basi per una crescita più armonica del complesso dento-scheletrico, diminuendo la gravità del problema e rendendo l’eventuale fase terapeutica successiva più semplice, più breve e più sopportabile per il paziente in crescita.Trattare preventivamente le malocclusioni intercettandole al momento giusto, molto spesso evita, nel futuro, scelte più drastiche ed invasive come le estrazioni dentarie o soluzioni chirurgiche ortodontiche a fine crescita.
   ORTODONZIA MIOFUNZIONALE 
 
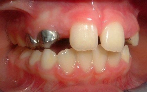
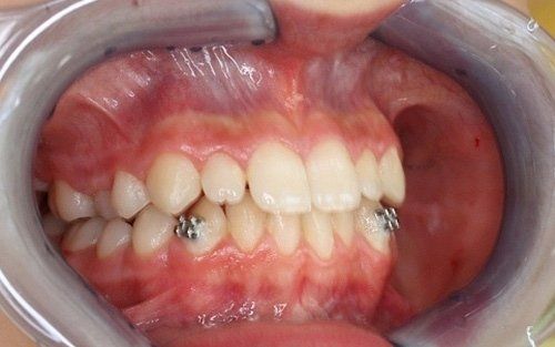
   ORTODONZIA CLASSICA 
Tramite brackets, ovvero attacchi (metallici, in resina o in ceramica) posizionati sui denti, viene realizzata una metodica fissa, con lo scopo di riallineare gli elementi dentari presenti in arcata raggiungendo la migliore occlusione possibile. L’opportunità di utilizzare una o l’altra tecnica, o una combinazione delle stesse dipende dalla diagnosi effettuata mediante le registrazioni iniziali. 
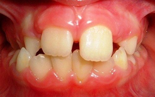
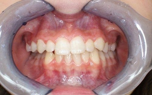
La "doppia fila" di denti: preoccupazione per i genitori
Una grande preoccupazione per i genitori è rappresentata dalla presenza contemporanea dei denti permanenti e dei denti da latte (che non cadono).Questa condizione non è affatto pericolosa per i denti permanenti, che prima o poi andranno a posizionarsi nella loro sede definitiva, dando l'ultima spinta ai dentini da latte, che cadranno definitivamente. Tranne rare accezioni, non vi è alcuna necessità di traumatizzare il bambino anticipando questo processo naturale con fastidiose estrazioni dentali.
Ecco un classico esempio di contemporaneità di denti da latte e denti permanenti. Questa situazione preoccupa sempre molto i genitori.
 
  
 















 
 

