MIGLIOR DENTISTA PER BAMBINI A BOLOGNA
l'importanza dell'approccio giusto: il primo

ODONTOIATRIA PEDIATRICA A BOLOGNA: CURA E PREVENZIONE
L’odontoiatria pediatrica si occupa della salute orale dei bambini fin dai primi anni di vita. Presso il nostro centro a Bologna lavoriamo sulla prevenzione, sull’educazione all’igiene orale e sulla cura tempestiva delle patologie dentali, per garantire una crescita sana dei denti da latte e permanenti.
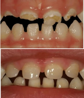
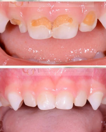
CARIE NEI BAMBINI E CURA DELLA MALATTIA CARIOSA
La carie nei bambini è una patologia molto diffusa e, se trascurata, può causare dolore e complicazioni future. Nel nostro studio di Bologna trattiamo la malattia cariosa nei bambini con tecniche conservative e minimamente invasive, adatte anche ai pazienti più piccoli. Ogni trattamento viene eseguito con la massima attenzione, spiegando ogni passaggio al bambino per ridurre ansia e paura del dentista.

IGIENE ORALE PEDIATRICA E FLUOROPROFILASSI A BOLOGNA
La prevenzione è fondamentale per evitare carie e problemi gengivali. Offriamo sedute di igiene orale pediatrica a Bologna e programmi di fluoroprofilassi, utili a rinforzare lo smalto e proteggere i denti nel tempo. Durante le visite, insegniamo ai bambini le corrette tecniche di spazzolamento, aiutandoli a sviluppare buone abitudini quotidiane.
SIGILLATURE DEI DENTI NEI BAMBINI
Le sigillature dentali nei bambini sono un trattamento preventivo efficace contro la carie dei molari. Applicando una resina protettiva sui solchi dentali, si riduce notevolmente il rischio di accumulo di placca e batteri. Il trattamento è rapido, indolore e particolarmente indicato nei primi anni dopo l’eruzione dei denti permanenti

ORTODONZIA PEDIATRICA A BOLOGNA
L’ortodonzia pediatrica a Bologna permette di intercettare precocemente malocclusioni e problemi di sviluppo delle ossa mascellari. Presso il nostro centro valutiamo attentamente la crescita del sorriso del bambino, proponendo apparecchi ortodontici personalizzati. Intervenire in età precoce consente spesso di semplificare le terapie future e ottenere risultati più stabili.
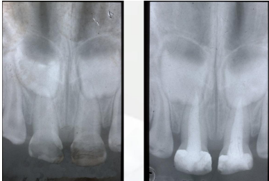
ENDODONZIA PEDIATRICA
In caso di carie profonde che coinvolgono la polpa dentale, interveniamo con l’endodonzia pediatrica. Presso il nostro studio di Bologna eseguiamo terapie canalari sui denti da latte e sui denti permanenti giovani, con l’obiettivo di preservare il dente e la sua funzione. Utilizziamo materiali e tecniche specifiche per l’età pediatrica, garantendo sicurezza e comfort.

TRAUMI DENTARI NEI BAMBINI
I traumi dentari nei bambini sono frequenti a causa di cadute o attività sportive. In caso di incidente è fondamentale intervenire rapidamente. Il nostro centro odontoiatrico a Bologna è specializzato nella gestione dei traumi dentali pediatrici, offrendo diagnosi tempestive e trattamenti mirati per proteggere la salute orale del bambino.






